IFG München
Institut für Glücksforschung


Die Nr. 1 der aktuellen Glückswissenschaft

Animation eines sich drehenden Gehirns

Längsschnitt durch unser Gehirn


Glücksforschung und Positive Psychologie

Wie man wirklich glücklicher
wird und dauerhaft bleibt

Auszug aus der 18., aktual. Neuauflage unseres Buches, Januar 2021:

Glücksforschung und Glückswissenschaft Band II
Hirnforschung, Neurobiologie,
DNS und unsere happy Gene


Funktionelles Kernspin-Verfahren vom Gehirn während seiner Arbeit
Testteilnehmer in einem MEG-Scanner  Diffusion Tensor Image of human Brain’s Connections


1. Hirnforschung, Neurobiologie und unser Glück und Wohlbefinden

1.1 Eine kleine Gehirn-Anatomie und Arbeitsteilung im Gehirn: Unsere vier „Minigehirne“

1.2 So funktioniert und tickt unser Lust-, Belohnungs- und Glückssystem
 

Unser Lust- und Belohnungssystem
Die vier Hirnregionen des „klassischen“ (links) und aktualisiert erweiterten (oben) Lust-, Belohnungs- und Glückssystems
 

    Unser Lust-, Belohnungs- und Glückssystem funktioniert nicht so simpel und einfach, wie der Journalist Stefan Klein in seiner etikettenschwindlerischen Mogelpackung „Die Glücksformel“ schreibt. Mogelpackung deshalb, weil zwar „Die Glücksformel“ drauf steht, aber, außer ein paar altbekannten Bauernregeln, Gemeinplätzen und Binsenweisheiten – die jeder eh schon kennt – gar keine Glücksformel drin ist.
    Vielmehr tragen mindestens sieben Hirnregionen zum Entstehen, biochemischen Aufbau und Erleben unseres Glücks bei, wobei noch zwei weitere zu seinem jeden erkennbaren motorisch-muskulären Gesichtsausdruck hinzukommen können.
   Vorweg muss allerdings betont und darauf hingewiesen werden, dass diese Hirnregionen eng miteinander verwachsen sind vorwärts und rückwärts miteinander kommunizieren und keine Hirnregion der alleinige Ort unseres Glücks und Wohlbefindens ist. Glücksgefühle sind – wie alle Emotionen, Gefühle und Stimmungen ein elektro-biochemisch neurobiologischer Lebensprozess, der sich räumlich und zeitlich aufbaut und entfaltet.
    Am Aufbau unserer freudigen Erwartungen, Vorfreude, inneren Antriebs (Motivation), Freude, „allem was uns gut tut“ und Glücksgefühle (sowie allen legalen Genussmitteln, allen Verhaltenssüchten wie die zur Zeit topaktuelle Spielsucht und allen illegalen Drogen und Süchten) sind also beteiligt:

      Ventral tegmentales ArealEine Hirnregion, die von Fachärzten, Hirnforschern und Kennern der Materie – wegen ihrer Lage im bauchwärts (anat.: ventral) liegenden Bereich des Hirnstamms – ventral tegmentales Areal (VTA) genannt wird. Sie ist das A und Ω und der Ursprungsort des Lust-, Belohnungs- und Glückssystems. Im VTA beginnt und endet es nach Rückmeldungen von Partnerzellen im Mittel- und Vorderhirn:


    Zwei funktionelle Magnetresonanz-Tomografie-Aufnahmen vom VTA, © Kimberlee D'Ardenne, Science, 2008

    Aktive VTA Dopamin-Nervenzellen von hinten

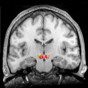
      Lage des linken und rechten Mandelkerns Die Amygdala (Mandelkerne)1,9,10,11): Die Mandelkerne sind an allen angenehmen und unangenehmen Gefühlen als eine Art „Speicher-Verteiler-Zentrale“ beteiligt, nicht nur – wie sich mittlerweile auch in der deutschen Psychologen- und Psychotherapeuten-Szene herumgesprochen hat – an allen fünf Angststörungen und der Depression.




  •   Das beidseitig am Boden des Mittelhirns (anat.: ventral) verlaufende Striatum (Streifengebilde), insbesondere sein Nucleus accumbens (Nacc)2,3,8,10), der zusammen mit dem Dopamin- und µ-Opioid-System unsere Lust-, Belohnungs- und Glücks-Leit- und Steuerzentrale ist.

    (Bild unten): Vier fMRT-Scanner-Aufnahmen (coronal Aufnahmen, Durchsicht von vorne), während wir finanzielle Belohnungen (oder Bestrafungen) erwarten. Nur in der ersten Scanner-Aufnahme, links oben (a), während wir in freudiger Vorwegnahme, Erwartung und Vorfreude größer werdende Belohnungen (größere Geldgewinne, mehr Geld) erwarten, ist der Nacc aktiver3,10).

    Die drei dimensionalen Ebenen des Gehirns 4 fMRT-Scanner-Aufnahmen vom Nucleus accumbens während der Erwartung größer werdender finanzieller Belohnungen und Bestrafungen
    © 2001 by Knutson, NIH/NIAAA / USA

      Der direkt über unseren Augenhöhlen liegende orbitofrontale Kortex4,10). Prompt nach der Präsentierung eines Reizes werden die Nervensignale vom ventral tegmentalen Areal innerhalb der ersten 150 Millisekunden im Mittelhirn weiter aufgebaut, halten sich nach ungefähr 400 Millisekunden 200 Millisekunden lang direkt oberhalb der mittleren → seitlichen Augenhöhlen (im orbitofrontalen Kortex) und schwächer beidseitig im mittleren Vorderhirn auf, wie man in der folgenden Abbildung von den Aufnahmen in Gewinnmomenten während eines Spiels mit einem Einarmigen Banditen sieht (Li,  2016):


    Copyright © 2016 by Brain, USA

     Vordere mittig umgürtende Zentralfurche (anat.: anterior zingulärer Kortex)5).
       Im orbitofrontalen Kortex und beidseitig der mittig umgürtenden Zentralfurche unseres Vorderhirns läuft die gedankliche Beurteilung unserer momentanen Erlebnisse als „angenehm, erfreulich, vergnüglich, gut, lustig, schön, fair, gerecht, geil“ ab
    .





      Der Precuneus ist die 222,8 mm3 Volumen (Voxel) große Hirnregion, die beidseitig an den Wänden der mittig umgürtenden Zentralfurche anliegt und in der rückseitigen (dorsalen) Hirnrinde (Kortex) liegt.
      Eine Gruppe japanischer Hirnforscher fand 2015 zum ersten Mal heraus, dass der Precuneus desto größer ist, je glücklicher die Menschen im Allgemeinen sind (Sato, 2015):


    Copyright © 2015 by Sato, Japan

      Lage des Hypothalamus Der Hypothalamus6) wandelt ständig Botenstoffe in verschiedene Neurohormone um und regelt ihre Ausschüttung über die unten an ihm hängende Hirnanhangdrüse (Hypophyse) in den Blutkreislauf Über unseren Blutkreislauf werden die Neurohormone beispielsweise zu unseren Sexualorganen transportiert.
     Abschließend können wir unsere angenehmen Gefühle körperlich spüren und jeder weiß Bescheid.

     


Die Nervenbahnen unseres Lust- und Belohnungssystems


Copyright © 2011 by Bryant, USA
Schematische Aufteilung zwischen dem Genuss- (oben) und Lust- und Belohnungssystem (unten)
(Genaue Erklärungen in unserem Band II.)

    Humorforscher kannten beispielsweise schon seit längerer Zeit Hirnregionen, die mit Humor zusammenhängen, die für die Analyse der Sprache und der wörtlichen Bedeutung eines Witzes zuständig sind, sowie die Regionen, die den Gesichtsmuskeln und Stimmbändern das Lächeln oder Lachen befehlen. Wie Dean Mobbs8), Professor an der Stanford University, und seine Kollegen 2003 herausfanden, liegt das eigentliche Geheimnis des Humors aber im Nucleus accumbens (Nacc).
    Dean Mobbs und seine Kollegen hatten 16 normal gesunden Studenten lustige oder neutrale Comics vorgelegt und dabei die Aktivitäten in verschiedenen Hirnregionen mit einem fMRI-Scanner abgescannt. Der Nacc war eindeutig die Region, die am stärksten auf die witzigen Comics reagierte. Er wird bei einem herzhaften Lachen mit dem Botenstoff Dopamin überschüttet. Dadurch entsteht ein Belohnungsgefühl und gute Laune, die sich nach einem guten Witz einstellen kann.
    Der Nacc ist jedoch ein sehr alter Bekannter nicht nur in der Glücks-, sondern auch in der Suchtforschung: Er ist auch für das Hochgefühl nach Kokaingenuss verantwortlich –, genauso wie für die Hochstimmung bei der Aussicht auf mehr Geld (siehe oben) oder für das Kribbeln beim Anblick eines attraktiven Gesichts.
    Wenn wir lachen sind allerdings zum motorisch à muskulären Ausdruck unserer Gefühle noch zwei weitere Hirnregionen zusätzlich aktiv: Ein etwa zwei Quadratzentimeter kleiner Abschnitt unserer linken vormotorischen7,8) und die motorische Hirnrinde (supplementär motorischer und motorischer Cortex).

    Als Dr. Fried von der UCLA Medical School, Los Angeles, nämlich wiederholt den Abschnitt der prämotorischen Hirnrinde seiner 16-jährigen Patienten A. K. elektrisch stimulierte, musste sie immer lachen. Immer, wenn Dr. Fried diesen Teil reizte, lachte sie und sagte, dass irgendetwas lustig sei. Wenn Dr. Fried sie fragte, was denn so lustig sei und warum sie lache, sagte sie jedes mal etwas anderes.
    Dr. Fried’s Patientin lachte zuerst, und reimte sich dann etwas Lustiges zusammen. Normalerweise funktioniert es gerade umgekehrt: Zuerst haben wir etwas Lustiges im Kopf, und erst dann lachen wir darüber.
    Dr. Fried vermutete deshalb bereits anno 1998 richtig, dass die prämotorische Hirnrinde wohl zu einem größeren Gehirnsystem gehört, das aus weiteren Hirnregionen besteht. Er vermutete, dass manche dabei notwendig sein könnten für:

    a) das Entstehen unserer Gefühle, die durch etwas Vergnügliches ausgelöst werden (emotionaler Bestandteil der Glücksgefühle),
    b) den „sich’s beschaffenden Teil“ des Vergnüglichen (gedanklich beurteilender, denkender Bestandteil der Glücksgefühle) und
    c) die Steuerung der Bewegungen der Mund-, Wangen- und Augenmuskulatur zum Gefühlsausdruck des Lächelns, Lachens oder Glücksgefühls (motorischer Bestandteil der Glücksgefühle).
   Die prämotorische Hirnrinde regt aber nicht nur den Gefühlsausdruck unseres Lächelns, Lachens oder der Glücksgefühle an, sondern ist vor allem bei allem Sprechen (und besonders beim Stottern) aktiv.

   Die folgende Grafik zeigt zusammenfassend noch einmal die drei wichtigsten Hirnregionen unseres Lust-, Belohnungs- und Glückssystems, beispielsweise während wir lachen:
 

Nucleus accumbens und linker Stirnlappen, während wir lachen
Copyright © 2002 by Journal of the Neuroscience, USA

(Bild unten): Diese fMRI-Scans (coronale Aufnahmen, Durchsicht von vorne) zeigen zusammenfassend die Gehirne von Kokainsüchtigen nach dem Sniffen von Kokain. Die Aufnahmen bestätigen, wie unter Kennern der Sucht-, Lern-, Motivations- und Glücksforschung seit langem bekannt, die prompt aufleuchtenden Aktivitätsmuster von fünf Hirnregionen (gelbe Pfeile)10).


fMRIs von Hirnregionen des Lust- und Belohnungssystems
Copyright © 2003 by Hans Breiter, MIT, Harvard / USA

(Bild unten): Während die Gehirne der Kokainsüchtigen abgescannt wurden, beurteilten sie auch die Intensität ihrer Rush- und Craving- (Gier-) Gefühle nach Kokain, auf einer Skala, die von 0 bis 3 Punkte reichte. Beim abschließenden Vergleich kam dabei zum ersten Mal ans Licht, dass das ventral tegmentale Areal und die sublenticular erweiterte Amygdala wichtig für den durch Kokain ausgelösten Rush und die Amygdala und der Nucleus accumbens sowohl wichtig für den Rush, als auch für die Gier nach Kokain sind. Wie die folgende Grafik zeigt, klang ihre durch den Rush ausgelöste Euphorie innerhalb von 12 Minuten wieder ab, während ihre Gier (Craving) nach Kokain wieder zunahm10):


Copyright © 2003 by Hans Breiter, MIT, Harvard / USA

1.3 So funktioniert und tickt unser Angst- und Schadensvermeidungssystem

1.4 Die Neurobiologie unserer Glücksgefühle

   Jeder amerikanische Hirnforscher wird dir sagen: „Alles Glück ist neurobiologisches Glück.“ Es gibt eine Tatsache über das Gehirn, die so offensichtlich ist, dass sie selten erwähnt wird: Das Gehirn ist mit dem übrigen Körper verbunden und kommuniziert mit ihm. Es empfängt Informationen von den verschiedenen Transduktoren im Körper. Ein Transduktor wandelt dabei eine chemische oder physische Einwirkung – wie beispielsweise Licht, Wärme, oder Druck (Schalldruck, Schallwellen) – in ein chemisches Nervensignal um. Einige dieser Transduktoren reagieren auf Signale, die von außerhalb des Körpers kommen – wie beispielsweise die Fotozellen der Netzhaut deiner Augen oder feinste Härchen in deinem Innenohr. Sie reagieren auf die äußere Umgebung. Andere Transduktoren reagieren auf Vorgänge, die sich innerhalb des Körpers abspielen. Das ist beispielsweise bei denen der Fall, die reagieren, wenn du Magenschmerzen hast oder den Blutzuckerspiegel deines Blutes anzeigen. Sie überwachen deine innere Umgebung.
   Nervenzellen sind die entscheidenden Zellen der Hirnaktivitäten. Jeder Mensch hat mehr als 10 Milliarden Nervenzellen mit mehr als 10 Billionen synaptischen Verbindungen (Synapsen) zwischen ihnen, die lokal verknüpft sind und Hirnregionen bilden. Schließlich sind die Hirnregionen untereinander zu Regelkreisen und zu Systemen aus Systemen von immer komplexerer Art miteinander synaptisch verbunden, die das ganze Gehirn bilden. Was die Größenordnung betrifft, so ist eine Nervenzelle ultrawinzig klein und nur mit einem Elektronenmikroskop sichtbar. Ein Elektronenmikroskop ist dabei ein Mikroskop, das nicht mit Licht, sondern mit Elektronen funktioniert.

Schematische Darstellung einer Nervenzelle
Schematische Darstellung einer Nervenzelle

Animation einer Nervenzelle
Animation einer aktiven Nervenzelle

   Dass Nervenzellen ihre Signale über Synapsen vermitteln, wurde zuerst an der neuromuskulären Verbindung zwischen Nervenzellen und Muskel entdeckt. Seit geraumer Zeit werden die biophysischen und biochemischen Grundlagen der in drei Schritten ablaufenden Signalübertragung intensiv erforscht. Diese drei Schritte beinhalten:
1. eine Erhöhung des Calcium- (Ca2+)- Einstroms in Mikro-Domänen der einen Botenstoff ausschüttenden Nervenzelle,
2. die Ausschüttung und räumliche Verteilung des Botenstoffs in der Synapse und
3. die Aktivierung von Rezeptoren der die Signale empfangenden Partnerzelle12).
 

Die zwei Subfamilien der Dopaminrezeptoren
Die zwei Untergruppen der Dopamin Rezeptoren


Copyright © 2003 by Hans Breiter, MIT, Harvard / USA

Kokainsüchtige Ratte     (Oben): Die drei elektronenmikroskopischen Aufnahmen zeigen eine Nervenzelle (Aufnahme links) des Nucleus accumbens (Nacc), Dendriten und dendritischen Stielen mit Stummeln
(neurobiol.: spines) von normal gesunden (Bild in der Mitte) und kokainsüchtigen Ratten (rechtes Bild). Die Aufnahme in der Mitte zeigt Nacc-Dendriten einer normal gesunden Ratte mit einer normalen Dichte Dopamin empfangender Spines. Im Gegensatz dazu sprießen bei kokainsüchtigen Ratten mehr Spines aus den Dendriten (Aufnahme rechts), und infolgedessen sehen die dendritischen Stiele buschiger aus. Die durch die Kokainsucht ausgelöst vermehrte Neubildung von Spines macht die Nacc-Nervenzellen reizempfindlicher für ausgeschüttetes Dopamin vom ventral tegmentalen Areal (VTA, Siehe diese Seite oben.) und trägt dadurch zu ihrer größeren Reizempfindlichkeit bei. Neueste Forschungsergebnisse deuten darauf hin, dass der Transkriptionsfaktor DeltaFosB eine entscheidende Rolle beim Wachstum der Spines in einer Region des Hirnstamms spielt und die Widerstandsfähigkeit gegen Stress vorhersagen kann. Ein DeltaFosB-Überausdruck in dieser Hirnregion wirkt beschützend gegen Stress, was teilweise durch die Unterdruckung des Substanz P Gen-Ausdrucks vermittelt wird.10)






Film vom Leben in einer Synapse
Copyright © 2004 University of Boston, Mass. / USA
Film vom Geschehen in einer Synapse

1.5 Ein paar Hirnregionen ticken bei glücklichen und unglücklichen Menschen anders

Wie jeder weiß, reagieren extravertierte, introvertierte und neurotische Menschen anders auf ein und dieselben Reize aus ihrem Umfeld. Vollkommen neu ist allerdings die Tatsache, dass bereits vor ihren allen erkennbaren Reaktionen – aufgrund ihrer unterschiedlichen Bewertung, Beurteilung und neurobiologischen Weiterverarbeitung – ganz bestimmte Hirnregionen bei ihnen aktiver oder weniger aktiv sind. Wie die folgenden 10 fMRI-Scans (Siehe unten: coronale Aufnahmen, Durchsicht von vorn.) von emotionalen Reaktionen auf 40 angenehme oder unangenehme Bilder zeigen, leuchten sie beim Betrachten der Bilder von Mensch zu Mensch unterschiedlich hell auf.
    Die obere Reihe zeigt rot gefärbte Hirnregionen, deren Reaktionen auf 20 angenehme Bilder wie glückliche Paare, Puppen, Sonnenuntergänge auf dem Land, Eiscreme oder Süßigkeiten, mit der Wesensart Extravertiertheit zusammenhängen. Extravertierte (und damit in der Regel glückliche) Menschen hatten als Reaktion auf das Betrachten dieser Bilder stärkere Aktivitätsmuster als introvertierte Menschen in den folgenden Hirnregionen: Amygdala (Aufnahme – 1), caudate Nucleus (Aufnahme + 5), Putamen (nicht dargestellt in der oberen Reihe) und mittlere vordere Hirnwindung (Aufnahme + 14).
    Die untere Reihe zeigt blau gefärbte Hirnregionen, deren Reaktionen auf 20 unangenehme Bilder wie weinende oder wütende Menschen, Spinnen, Gewehre oder ein Friedhof, mit der Wesensart Neurotizismus zusammenhängen. Neurotische (und damit in der Regel unglückliche) Menschen hatten als Reaktion auf diese Bilder stärkere Aktivitätsmuster als gefühlsmäßig ausgeglichene, gelassene Menschen in den folgenden Hirnregionen: Mittleres Vorderhirn (Aufnahme + 5) und mittlere Schläfenlappen-Hirnwindung (Aufnahme – 4)11).


Copyright © 2001 by Turhan Canli, Stanford University / USA

            
Copyright © 2001 by Turhan Canli, Stanford University / USA

(Grafik links): Sehr enge, geradlinig ansteigende Zusammenhänge zwischen der Wesensart Extravertiertheit (NEO Scores) und dem Reagieren dieser Hirnregionen auf angenehme Bilder (z-Scores). Einfacher ausgedrückt: Je extravertierter jemand ist, desto stärker reagieren diese Hirnregionen auf angenehme Bilder. (Grafik rechts): Sehr enge, geradlinig abnehmende Zusammenhänge zwischen der Wesensart Neurotizismus (NEO Scores) und dem Reagieren dieser Hirnregionen auf unangenehme Bilder (z-Scores)11).

Ansicht von vorn: Neurotische und extravertierte Gehirne
Copyright © 2001 by Turhan Canli, Stanford University / USA

Literaturhinweise:
1) Breiter, Harvard Medical School, MIT, 1996, Stein, 1999, Wright, Harvard Medical School, MIT, 2001, Breiter, 2001, Canli, 2002, Gur, 2002.
2) Aharon, Harvard Medical School, MIT, 2001, Breiter, 2001, Knutson, 2001.
3) Knutson, 2001.
4) Davidson, 1982, Davidson, 1992, Gray 1994, George, 1995, Heller, 1997, Lane 1997, Thut 1997, Kampe, 2001, Breiter, 2001.
5) Stein, 1999, Shidara, 2002.
6) Breiter, Kahneman, Daniel, Nobelpreisträger für Wirtschaftswissenschaften 2002, u. a., 2001.
7) Fried, 1998.
8) Mobbs, Stanford University, Dezember 2003.
9) Canli, 2002, downloadable PDF-File.
10) Norrholm, S. D., Breiter, Hans C., in: Neuroscience, Bd. 116, 2003.
11) Canli, 2001.
12) Lisman, John E., Raghavachari, Sridhar und Tsien, Richard W.: The sequence of events that underlie transmission at synapses, in: Nature Reviews Neuroscience, Bd. 8, Heft 8, Aug. 2007, Seite 597 bis 609.

Ich will alles darüber wissen …

 
Copyright © 1999 – 2021 by Dipl.-Kfm. Dipl.-Hdl. Bernd Hornung. Alle Rechte vorbehalten.


IFG München
Institut für Glücksforschung

Peter-Putz-Str. 12
81241 München
Tel: (089) 88 96 91 97
www.gluecksforschung.de
E-Mail an uns: [email protected]


Zurück zu HERZLICH WILLKOMMEN!



Klein Albert Einstein


Glücksforschung und Glückswissenschaft Band I - Wie man wirklich glücklicher wird

Glücksforschung und Glückswissenschaft Band II - Hirnforschung, Neurobiologie, DNS und unsere happy Gene

Durchschnittliche
Kundenbewertung:



In den Warenkorb